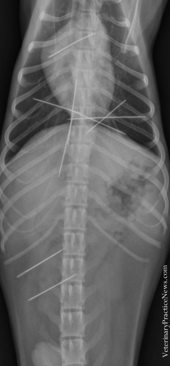
2014 X-Ray Contest WinnersAnimals will eat just about anything. The proof is in the radiographs. August 27, 2014 By Veterinary Practice News EditorsThe 2015 "They Ate What?!" Radiograph Contest Now Accepting Entries! Animal hospitals in Texas, Florida and Oregon won Veterinary Practice News’ ninth annual radiograph contest, “They Ate WHAT?” Pet insurer Trupanion of Seattle, Wash., sponsored the contest and will provide cash awards to support the uncompensated care these hospitals provide pets. The first-place winner, Paws & Claws Animal Hospital of Plano, Texas, received $1,500, Gulf Breeze Animal Hospital in Gulf Breeze, Fla., won the $1,000 second prize, and DoveLewis Animal Hospital in Portland, Ore., will receive the $500 third prize. The Veterinary Practice News editorial team and several advisory board members judged the entries. The Winners First Place: Kermit the Frog Shawn Messonnier, DVM Paws & Claws Animal Hospital Plano, Texas Kermit had the munchies. His owner noticed the exotic frog eating the rock substrate in his cage, and radiographs confirmed the owner’s observation. More than 30 small ornamental rocks were removed in surgery and the frog recovered without complications. The owner wisely decided to remove the remaining rocks from the frog’s habitat. Second Place: A Shish Kabob Skewer Goes Missing Tim Gossman, DVM Gulf Breeze Animal Hospital Gulf Breeze, Fla. Marley, a neutered male German shorthaired pointer, has always found trouble to get into. I quit encouraging his owner that he would grow out of it when he recently turned 6. Marley’s owner presented him, saying that she thought he’d eaten a shish kabob skewer. She had prepared two skewers with meat and vegetables for the grill and left them on the kitchen counter for “just a moment.” When she returned, the kabobs and Marley were gone. Finding him under the bed, the owner recovered one of the skewers, but not the other. Not thinking it was possible that he’d swallowed the skewer, I decided to radiograph Marley to appease the owner. Well, there it was, within the stomach. The exploratory and gastrotomy were uneventful. Marley was soon out the door and on to his next adventure. Third Place: Great Dane Eats 43 1/2 Socks DoveLewis Emergency Animal Hospital Portland, Ore. A 3-year-old male Great Dane was observed repeatedly vomiting and retching all day. Abdominal radiographs revealed a severely distended stomach and a large quantity of foreign material. During exploratory surgery performed by a DoveLewis veterinarian, 43½ socks were removed. The patient was discharged home one day after surgery. The Great Dane is still doing well, according to the family, and the Internet has fallen in love with his story. Honorable Mentions The Curious Case of Dragon Andrew Rambo, DVM Gladstone Animal Clinic Gladstone, Mo. A woman brought a bearded dragon named Dragon into our clinic for acute anorexia. Her young granddaughter was distraught that their beloved lizard was turning its scaly nose up at food. After a bit of persuading for an X-ray (“After all, it’s not a dog … but our granddaughter does love it so.”) an unusual opacity—remarkably shaped like a banana!—was observed in its digestive tract. The granddaughter’s comment: “That’s where Barbie’s banana went!” Apparently, Dragon had been known to lounge in Barbie’s Dream House when being played with by the granddaughter. veterinarypraticenews.com Dragon, a bearded dragon, came into the Gladstone Animal Clinic when he refused to eat. veterinarypraticenews.com According to Andrew Rambo, DVM, upon seeing the banana, Dragon's owner exclaimed, "So that's where Barbie's banana went!" Hook, Line & Sinker Josh Brown, DVM The Animal Clinic PSC Lawrenceburg, Ky. On a Saturday night, the owners brought in Elvis, a 7-week-old, 6.5-pound male mixed-breed puppy. They had been catfishing and baiting their hooks with chicken livers, which Elvis apparently found too tempting to ignore. He gulped down a liver—hook, line and all. He presented to our clinic after hours. A gastrotomy was performed to remove the hook, which had perforated the stomach. Fortunately, a timely surgery and antibiotics provided Elvis with a full recovery. Teresa Smith, DVM Heron Creek Animal Hospital North Port, Fla. A 5-month-old male kitten presented for acute anorexia and repeated vomiting. The owner recognized the toy alien figure on the X-ray. In surgery, it was found lodged in the proximal duodenum. Due to the “thumbs” of the toy, it could not be moved retrograde and the intestine had to be incised to facilitate removal. The cat recovered uneventfully and did well post-op. Is That a Lightbulb? Christy McCratic, DVM Golf Rose Animal Hospital Cody, a 10-month-old, 58-pound golden retriever, had been vomiting for two days before the owner approved radiographs. The light bulb passed intact after a day on intravenous fluids. Rubber Ducky, You're the One Mary Green, DVM Animal Emergency of Pasco Port Richey, Fla. A client with a dog named Woof called, saying her dog had eaten a rubber duck. Her 3-year-old son had lost his rubber duckie, so Mom, unable to find it after a month, bought him a new one. Watching her son in the tub, she saw Woof come in, nose around in the water and gulp down the duckie. Radiographs found five rubber duckies. Every time a duck went missing, Mom would buy a new one. We surgically removed the flock along with a toy truck tire and a piece of another toy, and Woof did very well. Pins & Needles (But Mostly Needles) Diane Craig, DVM, Dipl. ACVS Veterinary Surgical Specialists Inc Tustin, Calif. Yoda, a 9-pound Chihuahua, presented for shoulder lameness. The radiographs showed nine needles. Surgical removal of nine sewing needles from all over the body required a ventral abdominal exploratory and a ventral sternotomy. Presumably he ate a package of needles and digested the paper, and the needles migrated through his body. The lameness was caused by the one that was poking into his brachial area. He is doing well. For Turtles Only Christina Fenton, DVM Glenwood Falls Animal Hospital Cypress, Texas A 12-year-old male neutered Welsh Corgi ate approximately 2 cups of pea gravel. The owners had cleaned out the turtle tank and dumped the gravel in the flower bed. They then cleaned the barbecue grill and dumped the grease over the gravel. He recovered from surgery without incident. Dog Plus Change Holly Meuser, DVM Acequia Animal Hospital Albuquerque, N.M. Two-year-old pug Stella presented for vomiting 40 times overnight. During an abdominal exploratory, one quarter and 104 pennies were removed from the stomach. This patient recovered fine, but the $1.29 did not go toward her bill. Is That a Knife in Your Stomach? Kacie DuRocher, veterinary assistant Capitol Illini Veterinary Services Chatham, Ill. Lucy the Labrador came to us while staying with grandpa. She had found a closed pocketknife on the coffee table and swallowed it. We fed her a small meal and administered Apomorphine. A quick vomiting episode produced the 9.2 by 2.3 cm pocket knife. Hacky Sack Wendy J. Kollar, DVM VeterinaryPracticeNews.com D'Jango, the puppy who ate a hacky sack, wasn't feeling well when he was brought into the Akron Veterinary Referral and Emergency Center. Akron Veterinary Referral and Emergency Center Akron, Ohio Owner returned home to find D’Jango, a 15-week-old male intact golden retriever, playing with a Hacky Sack. Her son said another Hacky Sack was missing. Radiographs showed the puppy had eaten it and it appeared to be whole. Client elected for emesis. Apomorphine was administered conjunctively. After a second dose D’Jango vomited food and an intact Hacky Sack. Know Your Size Dr. Aaron W. Wilfert DVM Jackson County Veterinary Clinic PLLC Edna, Texas What is more embarrassing than your vet and his entire staff knowing your bra size? Norris, a 2-month-old rat terrier, presented with vomiting and stomach pain. Radiographs found a small metal clip in the stomach. The owner was asked to view the radiographs to identify the object, with the (male) veterinarian present. We don’t know who was more embarrassed, the owner or the veterinarian, when she determined that Norris had eaten her bra. Approximately 14 inches of bra and bra strap was surgically removed from the stomach and small intestine. Norris is thriving, but he is no longer allowed to enter the family laundry room. "They Ate What?! Contest": A Tradition Since 2006 Veterinary Practice News editor Marilyn Iturri created the “They Ate WHAT?!” contest in 2006 to showcase the humorous situations veterinarians and pet owners can face as well as the clinical advances available through digital radiography. The competition was a hit with readers from the start. Some trends have been apparent from the first year. “This year’s entries featured some of our old standards, such as cats eating hair ties and hair bands, threaded sewing needles and other shiny objects,” Iturri said. “Dogs often seem to eat golf balls, small rubber balls, rubber ducks and clothing items, plus a variety of metal objects not meant for consumption.” What stood out this year was what the animals had eaten and how much, according to Iturri. “One dog had swallowed five duckies and one of our top three winners ate 43.5 socks,” she said. “That broke our socks-eaten record. And a pug ate a package of sewing needles, which previously we saw only cats do. Unlike previous years, the items eaten by pets weren’t as expensive as previous years. “One thing we didn’t see this year was radiographs of expensive diamond rings in dogs,” Iturri said. “One year, two were entered, both reportedly worth $15,000. Another year, a cockatiel had swallowed an engagement ring.” Despite the light-hearted nature of the contest, Iturri said, the message to pet owners is serious. “Don’t trust your pet not to eat something she shouldn’t,” she said. “And if you think she ingested a foreign body, get her to your veterinarian right away. The longer you wait, the more damage is possible and it can be harder to retrieve the item.” Trupanion of Seattle sponsored this year’s contest. T.J. Houk, the pet insurer’s director of business intelligence, says its data suggest that as a foreign object passes through the animal’s body, costs to treat it increase – with more pain for the pet and possibly a worse outcome. Houk said the average cost of a claim for an object caught in the esophagus is about $800, which increases to a little more than $1,000 when the object moves into the stomach and to more than $1,700 when it reaches the intestines. If it remains untreated, Houk said, the intestine can rupture and pets can get septic abdomen and peritonitis, which can cost $5,000 or more. While the contest is over, Iturri said the call for new X-rays begins April 2015. The contest will be announced both on VeterinaryPracticeNew.com and the Veterinary Practice News magazine. See More X-Rays: 2013 X-Ray Contest Winners 2012 X-Ray Contest Winners More Crazy X-Rays Follow Veteriary Practice News on Twitter at @vetpetnews Originally published in the September 2014 issue of Veterinary Practice News
Education Center - SponsoredRegenerative Medicine and the Veterinary Technician: A Quick Guide to PRP and Stem Cell Therapyby • VetStemThe goal of regenerative medicine is to assist the body in regenerating tissue damaged by disease or injury. Every day, veterinary technicians encounter patients with fractures, soft tissue injuries, and joint disease.
SponsoredIndependent veterinarians stand together in shared purposeIt's not just about saving the most on goods and business-building resources. It’s not just access to unparalleled tools that bring transparency and better decision making to your finances. It isn’t only the camaraderie from collaborative study groups, whose members often come to see each other as family. Those things are certainly important; even so, there’s something more. Our purpose unites us. + Learn More
SponsoredIndependent veterinarians stand together in shared purposeIt's not just about saving the most on goods and business-building resources. It’s not just access to unparalleled tools that bring transparency and better decision making to your finances. It isn’t only the camaraderie from collaborative study groups, whose members often come to see each other as family. Those things are certainly important; even so, there’s something more. Our purpose unites us. + Learn More