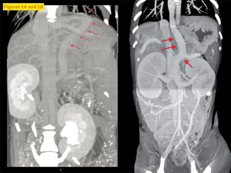
Diagnosing vascular anomalies in puppiesOctober 21, 2025There are three common kinds of vascular abnormalities in puppies that will be detailed in this article: shunts, patent ductus arteriosus (PDA), and persistent right aortic arch (PRAA).
SPONSORED CONTENTTake Control With ProHeart 12 (moxidectin)One dose offers year-long protection with a single injection, putting compliance in your hands. + Learn more