Digital cytology: The future of clinical pathology

Digital cytology can change how we practice medicine and creates a whole new paradigm for accessing veterinary expertise

It's Friday afternoon and Mr. Rush is in your practice again with Smoosh, his nine-year-old boxer who has been lethargic for the past month. Last week's blood work revealed mild lymphocytosis, mild non-regenerative anemia, and high-normal calcium. During today's follow-up, you palpate bilaterally enlarged submandibular lymph nodes. Not surprisingly, Mr. Rush is short of time and patience.

You collect lymph node aspirates, tell him you'd like to take a look under the microscope, and return to the treatment area to stain the slides. Looking through the scope, you see the cells are relatively homogeneous. Most of the lymphocytes appear smaller than normal and are darkly stained; however, a fair amount of plasma cells and neutrophils are present.

The blood work, breed, and lethargy are worrisome for lymphoma, but Smoosh is getting older and he is long overdue for a dental. Should you push for flow cytometry or a lymph node biopsy? Or are you overreacting, just like the lymph nodes? The cytology doesn't seem normal, but it's a tough call.

It looks as though you have two choices: one, push for a bigger workup, or two, send the slides to a pathologist. You wonder what Mr. Rush will say when you tell him he has to wait another week for results. Enter option number three: digital cytology.

More than a second opinion

Capturing images of microscope slides is not a new phenomenon. Many of us have pointed a smartphone down an eyepiece and texted the photo to a former classmate or colleague for a quick second opinion. Unfortunately, a response of "I agree that looks weird" does not help you reach a diagnosis.

Digital radiography can change how we practice medicine and creates a whole new paradigm for accessing veterinary expertise. Additionally, many major veterinary labs now scan histological sections for remote pathologist review. Further, the first "whole slide scanner" was recently approved for primary diagnosis in human medicine. Several veterinary and human studies have found strong concordance between pathologist interpretations of glass slides and digital slide images.1, 2

Using digital cytology and remote pathologists can provide rapid turnaround times to clinics around the world and accurate results.1 However, there are concerns extremely small or rare bacterial organisms may be missed when using digital cytology, although this has not be validated in the scientific literature. From abdominal effusion to joint taps and everything in between, cytology has always be a minimally invasive cornerstone of diagnosis, and with digitization, can be more convenient and reliable, given the immediate access to clinical pathologists. Keep in mind cytology samples requiring unusual stains are not candidates for digital cytology, as centralized labs are currently the only groups carrying these substances.

There are three ways to utilize digital cytology: through manual image capture on a smartphone, region of interest (ROI) scanning, or through an automated slide scanner.

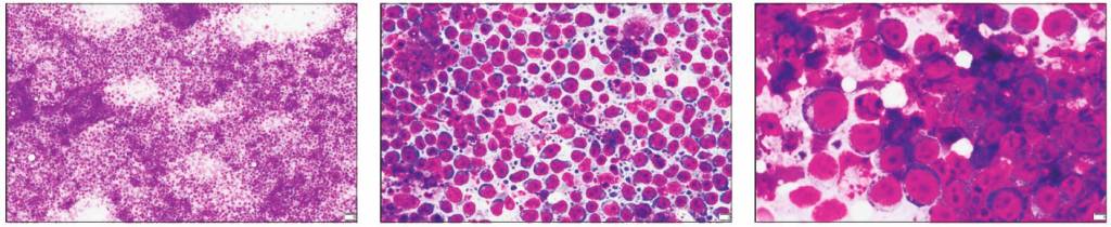
Slides of a nine-year-old shih tzu MC with enlarged right cervical LN with a diagnosis of lymphoma in low-, medium-, and high-power magnification.

Manual image capture: First select your camera

Smartphone—Capturing slide images with a smartphone is a fast and convenient option. Smartphone camera resolution now rivals that of high-end digital cameras, so anyone can create crisp, clear images. And while stabilizing a smartphone to frame and focus images remains the crux of this option, it can be accomplished with a bit of practice or with the aid of a commercially available smartphone holder that attaches directly to the microscope.

Camera-compatible microscope—Alternatively, microscopes are often trinocular and camera-compatible, and many practices have an existing digital camera setup. This remains an easy and relatively affordable option.

Once you've selected your camera, an adequate number of images at various levels of magnification are vital to achieve an accurate diagnosis. Just as a cardiologist would struggle to identify an arrhythmia with a single beat, a single cell at 100x magnification doesn't give a clinical pathologist much information with which to work. Multiple shots are needed at low-, medium-, and high-power magnification.

Image scanning

There are two types of image scanning: ROI scanning and whole slide imaging (WSI).

Region of interest scanning—This method involves capturing many digital photos and arranging them to create a larger image. It requires a trinocular microscope with an attached camera and scanning software. To perform an ROI scan, the user drives the microscope around the areas of interest so the software can stitch the images together. Scans generally include the entire slide at low magnification, as well as successive smaller areas at medium- and high-power magnification. ROI scanning can offer high-quality slide images at a relatively affordable price, although a specific combination of equipment and software is needed for optimal performance.

Whole slide imaging—The most complete and automated technique for digitizing slides, WSI requires a countertop and a standalone WSI unit, which looks similar to an in-house blood analyzer, although it does not attach to a microscope. After a slide is stained in-house, it is loaded into a WSI unit, which automatically scans it. WSI units create high-quality diagnostic images and usually require very little staff training or time to load the slide. The images are easily uploaded to the cloud for rapid review by a pathologist. Some services can offer turnaround times of less than an hour compared to days when using the traditional method of shipping glass slides.

Example of a whole slide scanner image of a canine lymph node.

What's the impact of digital cytology with remote pathologist review?

1) According to the American Pet Products Association (APPA), millennials are now the largest pet-owning demographic in the U.S., and they have modern expectations. Millennials have come to expect rapid service and immediate answers (think Amazon and Google, respectively).

Incorporating technology into a practice is on the upswing; tech-savvy practice owners can differentiate themselves by leveraging social media, text messages, or other telehealth platforms to stay in touch with clients. Digital cytology is the logical progression in this trend—it can close the diagnostic loop for waiting and worried pet parents, helping to improve client retention and standard of care.

2) Digitizing microscope slides creates a new paradigm for clinical pathologists. Analogous to the revolution in radiology, cases can now be shared instantly across the globe with other specialists. As such, multiple pathologists can collaborate rapidly on an unusual case.

In addition to the accelerated speed of diagnosis, digital cytology can reduce costs at multiple points (e.g. courier services, as well as technologist and infrastructure costs) and allows pooling of expertise across large geographic areas. (The cost of analysis ranges from $40 to $80.)
It can also provide permanent archiving of case material for future consultations and research.

Further, the technology can increase freedom for pathologists. With fewer glass slides and a reduced need for a centralized laboratory, clinical pathologists can review cases remotely, permitting them to work anywhere in the world.

3) Digital cytology allows for almost real-time specialist review (< 1 hour), which enables rapid case management. Fast-tracking diagnoses, treatments, and further diagnostics can improve patient outcomes in traditional and emergency settings.

Incorporating digital cytology into a practice can allow veterinarians and their clients to make rapid and informed decisions. A wide variety of applications are possible with this technology: enlarged lymph nodes can be evaluated for lymphoma; abdominal effusion can be checked for sepsis; spherocytes can be confirmed in suspected immune-mediated hemolytic anemia; masses can be assessed for surgical planning; and malignant cells can be detected for staging—the list goes on. Consider this: If we can identify a mast cell tumour relatively quickly, why not schedule surgery before the dog has even left the building?

This brings us back to Smoosh. Less than 45 minutes after telling Mr. Rush you've sent digital images of Smoosh's slides for pathologist review, you deliver the diagnosis. Mr. Rush's impatience quickly converts to concern for Smoosh. He's grateful to you for your thoroughness and is eager to begin the course of treatment you recommend.

References
1 Bertram C, Gutner C, Dettwiler M, Kershaw O, Dietert K,
Pieper L et al. Validation of Digital Microscopy Compared with Light Microscopy for Diagnosis of Canine Cutaneous Tumors. Vet Pathol. 2018. https://doi.org/10.1177/0300985818755254
2 Mukhopadhyay S, Feldman MD, Abels E. Whole Slide Imaging Versus Microscopy for Primary Diagnosis in Surgical Pathology. Am J Surg Path. 2017;42(1):39-52.

Conor Blanchet is the chief operating officer for Lacuna Diagnostics, a digital cytology company located in Fort Collins, Colo. He has an MBA from Colorado State University and is currently on a leave of absence from the DVM program at the same university. Blanchet's background in clinical veterinary medicine and pathology has helped Lacuna Diagnostics bridge the gap between clinicians and pathologists. He can be reached via e-mail at conor@lacunadiagnostics.com

Comments
Post a Comment

Comments