Minimally invasive surgery techniques improve idiopathic chylothorax treatments

Summarized are the four most common components of surgical management of the disease process via minimally invasive surgery.

Chylothorax is a complex disease process that affects both dogs and cats. It occurs when chylous effusion accumulates within the thoracic cavity. Chylous fluid consists of lymphocytes, protein, and triglycerides.1-3

Chylothorax has many underlying possible etiologies that ultimately cause decreased drainage of the thoracic duct, increased lymphatic burden, or both. It can be secondary to infection (parasitic, fungal), mediastinal masses, congenital conditions, lung lobe torsion, heart-based tumors, iatrogenic trauma, and thrombosis, among others.3-5 When a definitive cause cannot be identified, the condition is considered primary, or idiopathic.

Treating chylothorax typically involves either medical or surgical management.

Medical management aims to decrease the amount of lymphatic fluid excretion while increasing the absorption and removal of accumulated pleural fluid. Medications commonly used include rutin, a supplement that increases lymphatic fluid absorption6,7 and octreotide, which reduces lymphatic fluid excretion. A nutritional change to a lower-fat diet may decrease the amount of chylous fluid production and transport through the thoracic duct.3 Drainage of pleural effusion via thoracocentesis or placing temporary thoracostomy tubes is used to aid in patient respiration and clinical signs secondary to the pleural effusion.

Surgical management of secondary chylothorax targets treatment of the underlying condition. In cases deemed idiopathic, surgical intervention is recommended after failed medical management. The mainstay of treatment is ligation of the thoracic duct.1,2,8 Additional procedures can include pericardiectomy and cisterna chyli ablation.1,2 Adjunctive procedures to aid in removal of pleural effusion include thoracic omentalization,9 pleuro-peritoneal shunt creation,10 and pleural port placement.11,12

Surgical outcome for chylothorax in small animal patients is highly variable, with the prognosis more guarded in cats than in dogs.1,13 Traditional surgical interventions for idiopathic chylothorax are highly invasive, typically requiring open chest surgery (Figures 1 and 2) with the possibility of added abdominal laparotomy.3,4 Owners may be averse to such highly invasive procedures, with a possibility of nonresolution or continued need for pleural effusion evacuation. The use of minimally invasive surgery in small animals has made advances in the last several decades, and its use has been applied for surgical conditions, such as chylothorax.13-15

Figure 1. Thoracic duct ligation in a cat using the traditional intercostal thoracotomy approach. Photo courtesy Dr. Eric Monnet.
Figure 2. Subtotal pericardiectomy in a cat via median sternotomy. Also shown is the transthoracic omentalization. Photo courtesy Dr. Eric Monnet

Advantages of minimally invasive surgery in small animals have been well described in the literature, including quicker healing time, smaller incision size with inherent decreased incisional complications (Figures 3 and 4), quicker time to discharge, and less post-operative pain.16-19 Advances in using high-level imaging concurrently with minimally invasive techniques have improved pre- and intra-operative planning for chylothorax and acceptable outcomes. Summarized are the four most common components of surgical management of chylothorax via minimally invasive surgery.

Figure 3. The incisions present after a minimally invasive surgery for idiopathic chylothorax. There are three thoracoscopic port incisions for the thoracic duct ligation, a paracostal incision for laparoscopic ileocolic access for ICG administration, and an incision created for pleural port placement. Photo courtesy Dr. Sarah Marvel
Figure 4. Healed thoracoscopic port incisions after thoracic duct ligation illustrating the size contrast to a standard open chest procedure. Photo courtesy Dr. Claire Takeshita

Thoracic duct ligation

The thoracic duct is the primary lymphatic vessel that allows for lymphatic drainage from the majority of the body and into the venous system. The thoracic duct originates from the cisterna chyli, a lymphatic network, located ventral to the lumbar vertebrae residing in the retroperitoneal space. The thoracic duct then travels cranially through the aortic hiatus in the diaphragm and into the thoracic cavity. The thoracic duct is typically located on the right dorsolateral surface of the aorta in dogs and on the left side in cats. The thoracic duct then empties into the left external jugular vein or jugulosubclavian angle.20

Thoracic duct ligation is the primary treatment for chylothorax. The thoracic duct is ligated within the thoracic cavity to decrease leakage in the pleural cavity. Ligation of the thoracic duct allows for new anastomoses to be created outside the thoracic cavity between the lymphatic and venous systems. Thoracic duct ligation can be performed via a traditional open approach, using a right-sided 10th intercostal thoracotomy approach in dogs or a left-sided 10th intercostal thoracotomy approach in cats. Ligation of the thoracic duct is performed via ligation of all the structures dorsal to the aorta and ventral to the sympathetic trunk using suture, hemoclips, or a vessel sealing device.

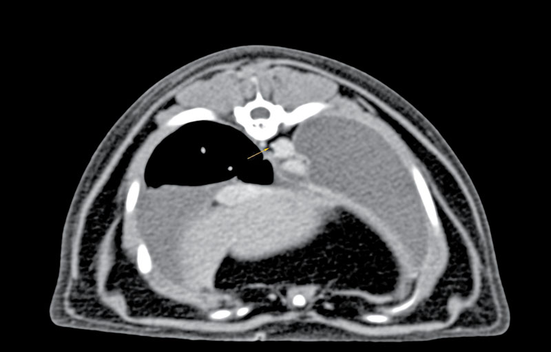
Prior to surgery, advanced imaging in the form of a CT scan combined with lymphangiography can be performed to better understand each patient's individual anatomy of the thoracic duct. Recent literature has described variations in the configuration of the thoracic duct among patients.21,22 Higher success rates may be achieved with patient-specific surgical planning, as additional branches and their location can be better identified (Figure 5). For the thoracoscopic approach to the thoracic duct, pre-operative imaging and planning are crucial for patient positioning and ideal port placement.

Figure 5. A CT scan image showing the thoracic duct located to the right of the aorta in a cat. This finding illustrates the benefit of advanced imaging for surgical planning. This cat had a right-sided thoracoscopic thoracic duct ligation. Photo courtesy CSU VTH Radiology

The first report of the use of thoracoscopy for visualization and ligation of the thoracic duct in dogs was published in 2002.23 Since this time, several additional papers have investigated the use of thoracoscopy for thoracic duct ligation.13-15 For thoracic duct ligation, the patient can be positioned in either sternal recumbency or lateral recumbency.

Typically, three ports are placed in the caudal thorax, allowing access to the side of the thoracic duct in that region. In dogs, the typical port placements are the 8th, 9th, and 10th intercostal spaces on the right side.20 In cats, the port placement is typically the 8th, 9th, and 10th intercostal spaces on the left side.20 Thoracoscopy is then performed to visualize the region containing the thoracic duct (Figure 6). Typically, one-lung ventilation is not needed due to the ventral location of the lung lobes with positioning. Suction of chylous fluid can be performed for better visualization. Exploratory thoracoscopy can be performed on the hemithorax entered for any gross abnormalities (Figure 7).

Figure 6. The thoracoscopic view of the region of the thoracic duct in a dog. Notice the thoracic duct cannot be readily visualized. The aorta and intercostal arteries are labeled.
Photo courtesy Dr. Ashley Villatoro
Figure 7. View of the cranial hemithorax. A chest tube is present. Photo courtesy Dr. Sarah Marvel

Although pre-operative imaging is useful in approach planning, the thoracic duct itself is not readily visualized intra-operatively. Advances in methods for visualizing the thoracic duct intraoperatively have occurred over the past decade.24,25 Traditionally, methylene blue was used for visualization of the thoracic duct.26,27 Many different injection sites have been described, such as the popliteal lymph node, diaphragmatic crus, intra-hepatic, or cecocolic lymph node. Recently, using indocyanine green (ICG) for direct near-infrared fluorescence lymphography (NIRF-L) has flourished for a variety of purposes. The use of ICG for visualization of the thoracic duct has been described with better visualization than methylene blue (Figure 8).23

Figure 7. View of the cranial hemithorax. A chest tube is present. Photo courtesy Dr. Sarah Marvel
Figure 8. View of the thoracic duct of the same dog pictured in Figure 6, now well highlighted with the use of ICG and NIFR. Photo courtesy Dr. Ashley Villatoro

Once the thoracic duct has been identified, dissection immediately dorsal to the aorta is then performed to isolate the thoracic duct (Figure 9). A longitudinal incision is created dorsally to the aorta, carefully avoiding the intercostal arteries to prevent hemorrhage (Figure 10). If an intercostal artery is damaged, ligation can be performed using a vessel sealing device if necessary.

Figure 9. Thoracoscopic dissection is being performed on the thoracic duct. Photo courtesy Dr. Ashley Villatoro
Figure 10. Longitudinal incision created using J-hook cautery immediately dorsal to the aorta, between the intercostal arteries, to better dissect and access the thoracic duct.
Photo courtesy Dr. Ashley Villatoro

Dissection then continues to clear the adventitia from the aorta ventral to the thoracic duct and to clear the dorsal mediastinum ventral to the hypaxial musculature and sympathetic trunks. Once the thoracic duct is freed and all associated branches visualized, ligation can then be performed. Figure 11 illustrates endoclips being applied to the thoracic duct. Alternatively, a vessel sealing device can be used solely, or as in Figure 12, concurrently, to ligate and divide the thoracic duct between endoclips. An en bloc encircling suture can also be performed to ligate the structures between the aorta and the sympathetic trunk.

Figure 11. The thoracic duct (highlighted by ICG) is being occluded using multiple endoclips. Photo courtesy Dr. Ashley Villatoro.
Figure 12. The thoracic duct has been ligated with endoclips, and a Ligasure vessel sealing device is used to ligate and divide between a set of endoclips. Photo courtesy Dr. Sarah Marvel

Pericardiectomy

Pericardiectomy is often performed in patients with chylothorax in conjunction with thoracic duct ligation. The pericardium of dogs with chronic effusion, such as those with chylothorax, thickens over time or becomes fibrotic. Fibrosis of the pericardium can lead to constrictive pericarditis, due to a decrease in cardiac preload and elevation of right atrial and central venous pressure.28 Increased pressure on the lymphatic system from increased venous pressure can lead to leakage of chylous fluid from the thoracic duct. Therefore, pericardiectomy is theorized to aid in preventing constrictive pericarditis.28

Restrictive pericarditis may not be present in all dogs with chylothorax; however, additional procedures outside of echocardiogram, such as cardiac catheterization, are required for diagnosis.29 Therefore, it is possible pericardiectomy may not be required in all cases; however, it is still reported as a common concurrent surgical procedure for thoracic duct ligation with favorable outcomes.

A subtotal pericardiectomy or pericardial window can be performed with an intercostal or paraxyphoid approach. First, the mediastinum is broken down for access to both hemithoraces (Figure 13). Additional ports can be placed for additional instrument placement or visualization (Figure 14). The pericardium is grasped as shown using a thoracoscopic grasper. Laparoscopic Metzenbaum scissors or use of a vessel sealing device is used to enter the pericardial sac. Using the vessel sealing device, either a pericardial window or subtotal pericardiectomy is then performed (Figure 15). The pericardium is saved for bacterial and fungal culture and submitted for histopathological examination.

Figure 13. The thoracoscopic view of a Ligasure vessel sealing device breaking down the cranial mediastinum for access to both hemithoraces. An indwelling chest tube is visible on the right side of the image that was placed preoperatively. Photo courtesy Dr. Ashley Villatoro
Figure 14. The thoracoscopic port placements for pericardiectomy. In this patient, additional cranial intercostal ports were placed for better visualization of the pericardium due to patient conformation. Photo courtesy Dr. Claire Takeshita
Figure 15. A pericardial window is being created using a Ligasure vessel sealing device.
Photo courtesy Dr. Ashley Villatoro

Cisterna chyli ablation

The cisterna chyli is located medial to the hilus of the left kidney and serves as a reservoir for chyle. It is proposed that in cases with thoracic duct ligation, the increase in pressure within the thoracic duct may allow for alternate pathways of lymphatic drainage, leading to failure.30 By ablating the cisterna chyli, this may allow reduction of the pressure and a decrease in recurrence of the chylothorax. Recent studies have shown high resolution rates without cisterna chyli ablation, but can be considered during initial surgical intervention or for cases of non-resolution or recurrence. Laparoscopic approach to the cisterna chyli can be performed and has been described in recent literature.30,31 Patient positioning can be performed in sternal or lateral recumbency, with the laterality determined best via pre-operative imaging and lymphangiography.30,31 Single or multiport placement has been described with ablation performed via tearing of the cisterna chyli with laparoscopic instruments.30,31 Reported complications can include post-operative chyloabdomen requiring abdominocentesis.31

Pleural port placement

Patients with chylothorax typically have some degree of continued pleural effusion, either short-term, only immediately post-operatively, or for life. Pleural effusion can cause varying levels of respiratory compromise and may lead to sequelae, such as pericardial tamponade and fibrosing pleuritis. Thoracocentesis is often required with chronic pleural effusion if the underlying cause cannot be treated or is not completely attenuated. Complications with repeated thoracocentesis include possible iatrogenic pulmonary injury, infection, pain, and the need for sedation.

A permanent port for drainage of pleural effusion is now available in dogs and cats in the form of a modified vascular port. The port includes a multi-fenestrated silicone tube placed within the thoracic cavity which exits the chest and is connected to a subcutaneous port. This port is accessed through the skin using a special Huber needle, which allows for repeated insertion without damage to the port. This port is advantageous due to its ability to facilitate repeated thoracic drainage without incurring high costs, decreasing the chance of infection, and allowing for use of intra-thoracic treatments, such as intra-cavitary chemotherapy (Figure 16). Potential complications of pleural ports include possible obstruction, infection, or migration.11

Figure 16. Patient with chylothorax with a PleuralPort previously placed getting pleural effusion drained post-operatively. Photo courtesy Dr. Katie Larsen

Outcome and prognosis

A minimally invasive surgical approach to idiopathic chylothorax has been reported to yield outcomes ranging from 80 to 100 percent13,14,33 success in dogs and 50 to 100 percent in cats.15,34 These percentages are comparable to and improved compared with traditional open approaches.1,2 This may be due to more recent advances in imaging and the use of intra-operative lymphangiography to better identify the thoracic duct and any additional branches.

Possible complications of the thoracoscopic approach to idiopathic chylothorax include non-resolution requiring continued medical management or additional surgical procedures,35 delayed recurrence of effusion after initial resolution, need for intra-operative conversion, and anesthetic-associated death.13-15,33

Although favorable outcomes have been reported for minimally invasive surgical treatment of idiopathic chylothorax, further investigation involving larger study populations is warranted. Additionally, a longer time frame for follow-up post-operatively would be beneficial to better evaluate delayed complications and overall long-term outcomes. Continued research remains essential to further understand the complex pathophysiology of idiopathic chylothorax and the best surgical intervention.


Ashley Villatoro, DVM, DACVS-SA, achieved board certification from the American College of Veterinary Surgeons in small animal surgery in 2024. She is currently an assistant professor of general surgery in the Department of Clinical Sciences at the Colorado State University College of Veterinary Medicine and Biomedical Sciences. Dr. Villatoro is currently a minimally invasive fellow candidate in small animal soft tissue surgery. She has an interest in minimally invasive soft tissue surgery, interventional radiology, surgical oncology, wound management, and reconstruction techniques.

References

  1. Reeves LA, Anderson KM, Luther JK, Torres BT. Treatment of idiopathic chylothorax in dogs and cats: A systematic review. Vet Surg. 2020;49(1):70-79.
  2. Hawker W, Singh A. Advances in the Treatment of Chylothorax. Vet Clin North Am Small Anim Pract. 2024;54(4):707-720.
  3. Birchard SJ, McLoughlin MA, Smeak DD. Chylothorax in the dog and cat: a review. Lymphology. 1995;28(2):64-72.
  4. da Silva CA, Monnet E. Long-term outcome of dogs treated surgically for idiopathic chylothorax: 11 cases (1995-2009). J Am Vet Med Assoc. 2011;239(1):107-113.
  5. Singh A, Brisson BA. Chylothorax associated with thrombosis of the cranial vena cava. Can Vet J. 2010;51(8):847-852.
  6. Thompson MS, Cohn LA, Jordan RC. Use of rutin for medical management of idiopathic chylothorax in four cats. J Am Vet Med Assoc. 1999;215(3):345-339.
  7. Kopko SH. The use of rutin in a cat with idiopathic chylothorax. Can Vet J. 2005;46(8):729-731.
  8. Ishigaki K, Nagumo T, Sakurai N, Asano K. Triple-combination surgery with thoracic duct ligation, partial pericardiectomy, and cisterna chyli ablation for treatment of canine idiopathic chylothorax. J Vet Med Sci. 2022;84(8):1079-1083.
  9. Lafond E, Weirich WE, Salisbury SK. Omentalization of the thorax for treatment of idiopathic chylothorax with constrictive pleuritis in a cat. J Am Anim Hosp Assoc. 2002;38(1):74-78.
  10. Smeak DD, Stephenj, Birchard, et al. Treatment of chronic pleural effusion with pleuroperitoneal shunts in dogs: 14 cases (1985-1999). J Am Vet Med Assoc. 2001;219(11):1590-1597.
  11. Brooks AC, Hardie RJ. Use of the PleuralPort device for management of pleural effusion in six dogs and four cats. Vet Surg. 2011;40(8):935-941.
  12. Bahlmann KN, Stanley BJ. Use of a pleural access port in the staged management of idiopathic chylothorax in a cat. JFMS Open Rep. 2025;11(1):20551169251326747. Published 2025 Apr 12.
  13. Allman DA, Radlinsky MG, Ralph AG, Rawlings CA. Thoracoscopic thoracic duct ligation and thoracoscopic pericardectomy for treatment of chylothorax in dogs. Vet Surg. 2010;39(1):21-27.
  14. Mayhew PD, Steffey MA, Fransson BA, et al. Long-term outcome of video-assisted thoracoscopic thoracic duct ligation and pericardectomy in dogs with chylothorax: A multi-institutional study of 39 cases. Vet Surg. 2019;48(S1):O112-O120.
  15. Dickson R, Adam A, Garcia Rubio D, et al. Outcome of video-assisted thoracoscopic treatment of idiopathic chylothorax in 15 cats. Vet Surg. 2024;53(5):852-859.
  16. Fuertes-Recuero M, de Segura IAG, López AS, et al. Postoperative pain in dogs undergoing either laparoscopic or open ovariectomy. Vet J. 2024;306:106156.
  17. Culp WT, Mayhew PD, Brown DC. The effect of laparoscopic versus open ovariectomy on postsurgical activity in small dogs. Vet Surg. 2009;38(7):811-817.
  18. Devitt CM, Cox RE, Hailey JJ. Duration, complications, stress, and pain of open ovariohysterectomy versus a simple method of laparo- scopic-assisted ovariohysterectomy in dogs. J Am Vet Med Assoc. 2005;227(6):921. doi:10.2460/javma.2005.227.921
  19. Charlesworth TM, Sanchez FT. A comparison of the rates of postoperative complications between dogs undergoing laparoscopic and open ovariectomy. J Small Anim Pract. 2019;60(4):218-222.
  20. Tobias KM, Johnston SA, eds. Veterinary Surgery: Small Animal. 2nd ed. Elsevier Saunders; 2018.
  21. Millward IR, Kirberger RM, Thompson PN. Comparative popliteal and mesenteric computed tomography lymphangiography of the canine thoracic duct. Vet Radiol Ultrasound. 2011;52(3):295-301.
  22. Lin LS, Chiu HC, Nishimura R, Fujiwara R, Chung CS. Computed tomographic lymphangiography via intra-metatarsal pad injection is feasible in dogs with chylothorax. Vet Radiol Ultrasound. 2020;61(4):435-443.
  23. Radlinsky MG, Mason DE, Biller DS, Olsen D. Thoracoscopic visualization and ligation of the thoracic duct in dogs. Vet Surg. 2002;31(2):138-146.
  24. Steffey MA, Mayhew PD. Use of direct near-infrared fluorescent lymphography for thoracoscopic thoracic duct identification in 15 dogs with chylothorax. Vet Surg. 2018;47(2):267-276.
  25. Korpita MF, Mayhew PD, Steffey MA, et al. Thoracoscopic detection of thoracic ducts after ultrasound-guided intrahepatic injection of indocyanine green detected by near-infrared fluorescence and methylene blue in dogs. Vet Surg. 2022;51 Suppl 1:O118-O127.
  26. Enwiller TM, Radlinsky MG, Mason DE, Roush JK. Popliteal and mesenteric lymph node injection with methylene blue for coloration of the thoracic duct in dogs. Vet Surg. 2003;32(4):359-364.
  27. Bayer BJ, Dujowich M, Krebs AI, Leeds TG, Anderson GM, Merkley DF. Injection of the diaphragmatic crus with methylene blue for coloration of the canine thoracic duct. Vet Surg. 2014;43(7):829-833.
  28. Fossum TW, Mertens MM, Miller MW, et al. Thoracic duct ligation and pericardectomy for treatment of idiopathic chylothorax. J Vet Intern Med. 2004;18(3):307-310.
  29. Adams TE, Marvel SJ, Monnet E. Constrictive physiology is not present in all dogs with idiopathic chylothorax. J Am Vet Med Assoc. 2024;262(10):1354-1362.
  30. Sicard GK, Waller KR, McAnulty JF. The effect of cisterna chyli ablation combined with thoracic duct ligation on abdominal lymphatic drainage. Vet Surg. 2005;34(1):64-70.
  31. Morris KP, Singh A, Holt DE, et al. Hybrid single-port laparoscopic cisterna chyli ablation for the adjunct treatment of chylothorax disease in dogs. Vet Surg. 2019;48(S1):O121-O129.
  32. Sakals S, Schmiedt CW, Radlinsky MG. Comparison and description of transdiaphragmatic and abdominal minimally invasive cisterna chyli ablation in dogs. Vet Surg. 2011;40(7):795-801.
  33. Kanai H, Furuya M, Hagiwara K, et al. Efficacy of en bloc thoracic duct ligation in combination with pericardiectomy by video-assisted thoracoscopic surgery for canine idiopathic chylothorax. Vet Surg. 2020;49 Suppl 1:O102-O111.
  34. Haimel G, Liehmann L, Dupré G. Thoracoscopic en bloc thoracic duct sealing and partial pericardectomy for the treatment of chylothorax in two cats. J Feline Med Surg. 2012;14(12):928-931.
  35. Clendaniel DC, Weisse C, Culp WT, Berent A, Solomon JA. Salvage cisterna chyli and thoracic duct glue embolization in 2 dogs with recurrent idiopathic chylothorax. J Vet Intern Med. 2014;28(2):672-677.

Comments
Post a Comment

Comments