Repairing Fractures: Are You A Carpenter Or A Gardener?

When we repair a fracture there are two basic approaches, which to choose is a matter of indication, not philosophy or dogma.

When we repair a fracture there are two basic approaches, which intuitively may seem mutually exclusive.

The traditional approach is to “put the pieces back together” at all costs by focusing on the mechanical aspect. The carpenter-minded surgeon wants to reconstruct the bone so that it looks as close to the original bone as possible on postoperative radiographs. By ensuring anatomic reconstruction of the bony column with a variety of internal implants (plates, screws, pins, cerclage wires), we can provide instant mechanical support, which allows the patient to use the leg.

This mindset is commonly used to repair simple transverse or oblique fractures, for example of the radius or tibia. Barely being able to see the fracture line on the postop films often gives the surgeon an instant high.

The carpenter knows that clients don’t always understand the concept of confinement, and that a pet comprehends it even less. So the stronger the repair, the better the carpenter sleeps at night.

There are clear disadvantages to this approach in some cases, classically in highly comminuted fractures. Meticulous reconstruction of each fragment to recreate the bony column leads to:

• Opening up the fracture site and removing the fracture hematoma—which represents the first stage of healing.

• Damaging the blood supply, provided by the surrounding tissues, to the bone fragments.

• Potentially contaminating the surgery site with bacteria.

• Increasing anesthesia time.

Unfortunately, although we may have achieved anatomic reduction, all of these iatrogenic factors can lead to a delay in bone healing, which clearly defeats the purpose.

Another Approach

The other approach in bone fixation is to focus on the biological aspects. The gardener-minded surgeon strives to encourage rapid healing by nurturing the fracture site, i.e., by staying out of it. The goal is not to reach radiographic or anatomic or mechanical perfection. The idea is to help Mother Nature do its magic.

This may entail having the wisdom to recommend a splint, rather than surgery, in well selected cases; poor case selection can lead to malunions or non-unions. It may require enough humility to recognize that this fracture simply cannot be anatomically repaired.

The gardener’s philosophy implies that:

• The fracture hematoma is not disrupted so its osteogenic potential is preserved.

• Contamination of the surgery site with bacteria is minimized.

• The blood supply, provided by the surrounding tissues to the bone fragments, is respected.

• Anesthesia time is reduced.

Comminuted fracture
Comminuted fracture of the humerus in a 1-year-old cat. Courtesy of Dr. Phil Zeltzman

Which are you, a carpenter or a gardener?

This is actually a trick question. Which approach to choose is a matter of indication, not philosophy or dogma. Being strictly a carpenter or strictly a gardener is so...last century.

A versatile surgeon is a combination of a carpenter and a gardener, sort of a hybrid of strength and nurturing. The more modern approach to bone repair is balanced—just like anesthesia! Here are a few general concepts that take into account both approaches, the mechanical and the biological, in order to maximize healing.

ü Be a minimalist. Even when a bone plate is applied, muscle dissection and vascular insult should be kept to a minimum. The basic surgical principles described by human surgeon William Halsted should be respected whether we perform soft tissue or orthopedic surgery.

ü Use alternate fixation methods. In some cases where plate or plate/rod osteosynthesis is applicable, using an interlocking nail will provide excellent biological and mechanical benefits; in some well-chosen cases, external fixators may allow a strong repair of a fracture with minimal soft tissue dissection and maximal vascularization preservation.

ü Open but do not touch (OBDNT). The OBDNT concept involves a mini-approach to the vicinity of the fracture site to improve spatial alignment of the bone fragments. Resisting mechanical reconstruction is critical since it would defeat the purpose. Large, as well as free-floating, even devascularized fragment segments are saved as they will eventually be incorporated in the healing callus.

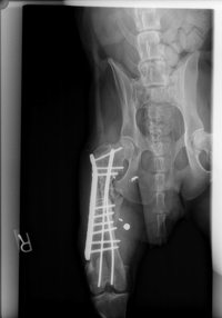
Femur
The carpenter wants to anatomically reconstruct the femur (gunshot wound in a 5-year-old German shepherd). Courtesy of Dr. Phil Zeltzman

ü Add a pin. An intramedullary (IM) pin can be used to help with axial alignment or distraction of the main bone segments. During or after application of the bone plate and the screws, the pin can be removed, especially if it is in the way of the screws. Alternatively, the pin can be left in place to reinforce the repair and create a “plate-rod” construct. The IM pin can also be secured to an external fixator in a “tie-in” configuration.

ü Hang your patient. A simple way to help with spatial alignment is to “hang” the patient with tape or a tie to an IV pole, a surgery light or the ceiling. Being wishy washy defeats the purpose, however. The patient should come slightly off the surgery table in order to use the body weight to your advantage. Fatiguing the muscle preoperatively will be very helpful during surgery.

ü Use a graft. Grafting a fracture site speeds up healing. Harvesting a cancellous bone graft takes time and causes morbidity. These days, bone grafts often live “on the shelf.” There are a variety of options on the market. Their cost may be offset by the benefits to the patient (less trauma and anesthesia), the surgeon (less time) and the client (less anesthesia time).

ü Limit contact. For decades, bone plates were rectangular, with the underside directly in contact with the periosteum. A relatively new generation of bone plates, called limited contact plates, has “undercuts” underneath it. So there is “limited contact” between the plate and the bone, which allows for increased periosteal blood supply beneath the plate.

ü Try the new kid on the block. Loïc Déjardin, a board-certified surgeon at Michigan State University, has been investigating a very elegant technique borrowed from human surgery. It is called elastic plate osteosynthesis, or minimally invasive plate osteosynthesis, or else biological osteosynthesis. It seems like an ideal compromise to repair a bone with a plate while being both a carpenter and a gardener.

Once the main bone fragments are realigned using one of the techniques described above, a small skin incision is made proximally and one distally. A long bone plate is slipped through a tunnel between the soft tissues and the periosteum. The plate is then secured to the bone with a couple of screws proximally and distally.

Ultimately, the goal of the carpenter-gardener surgeon hybrid is to minimize iatrogenic trauma to the patient while ensuring a speedy recovery. 

Dr. Phil Zeltzman is a mobile, board-certified surgeon near Allentown, PA. His website is www.DrPhilZeltzman.com. He is the co-author of “Walk a Hound, Lose a Pound.”

Comments
Post a Comment

Comments