FidoPharm Rolls Out Generic Heartworm PreventiveMarch 9, 2012 PetArmor manufacturer FidoPharm launched a generic prescription heartworm preventive called PetTrust Plus (ivermectin/pyrantel) today as part of an event in New Orleans at which FidoPharm established a “Pet Trust” for the Louisiana Society for the Prevention of Cruelty to Animals. PetTrust Plus is the first generic preventive to be sold in retail pharmacies, according to FidoPharm. The medication contains the same active ingredients in the same concentrations as Merial's Heartgard Plus, but costs up to 50 percent less, the company said. “Dogs deserve access to preventive heartworm medicine and their owners deserve choices, without having to sacrifice quality and efficacy,” said FidoPharm President Alex Kaufman. “With the introduction of PetTrust Plus at retail pharmacies nationwide, FidoPharm continues to protect pets and provide pet parents with affordable and accessible pet health care options and we are proud to educate pet owners about the importance of heartworm testing and treatment.” FidoPharm committed $5,000 to establish the “Pet Trust” for the LA/SPCA to provide protection and healthcare to local, needy pets. The company will also provide the next 500 adopted eligible dogs with a six-month supply of PetTrust Plus. <HOME>
SPONSORED CONTENTNutrition to improve mobility in dogsNutrition that helps support joint cartilage preservation and is clinically proven to improve mobility in as little as 3 weeks. + Learn More
Nutrena Goat Pellets Recalled On Label OmissionMarch 9, 2012 Cargill Animal Nutrition voluntarily recalled three lots of Nutrena NatureWise Goat Pellets on Wednesday due to a labeling error. The packages failed to indicate that the feed contains decoquinate, a medicated article for the prevention of coccidiosis that is not approved for lactating goats. The goat pellets were manufactured at Cargill’s Montgomery, Ala., facility on Dec. 31, 2011, Feb. 18, 2012 and Feb. 25, 2012. The pellets were distributed in Alabama, Florida, Georgia, Mississippi and North Carolina. The affected products include: Lot Code Product Name Weight Date Code 1MG1365 NatureWise Goat Pellet 16 50 1MG1DEC31 3MG2049 NatureWise Goat Pellet 16 50 3MG2FEB18 1MG2056 NatureWise Goat Pellet 16 50 1MG2FEB25 Cargill urged consumers to return opened or unopened bags of the feed to their place of purchase for a full refund or replacement. <HOME>
Microchips, Pet Meds Drive Pethealth RevenuesMarch 8, 2012 Pethealth Inc.’s revenue grew by 3 percent in 2011 compared to the year-ago period despite a 5 percent decline in pet insurance revenue, the Canadian company reported yesterday. In April 2011, Pethealth completed a restructuring of its ShelterCare insurance program delivered through North American animal welfare organizations. The process reduced both the non-cash component of its pet insurance revenue and the program’s marketing expenses, while increasing net income and cash flows. Total revenue from the company’s pet insurance segment decreased from $23.4 million in 2010 to $22.3 million in 2011, but increased by 4 percent in the 4th quarter, from $5.6 million in 2010 to $5.9 million in 2011. Meanwhile, the company’s non-insurance segment, including animal welfare software, pet recovery database services, and online retail, grew by 24 percent in 2011 from $8.8 million to $10.9 million. The segment also grew by 32 percent in the 4th quarter, from $2.2 million in 2010 to $2.9 million in 2011. Sales through the company’s online store, thepetangstore.com, grew by 166 percent from 2010 to 2011. Sales of pet medications comprised about 69 percent of the store’s 2011 sales of $879,000. Fourth quarter sales through thepetangostore.com increased 158 percent …
Arizona To Get First DVM Program In 2014March 7, 2012 Midwestern University of Glendale, Ariz., is establishing a college of veterinary medicine, scheduled to open in the fall of 2014, the university reported today. Midwestern will be the first school in Arizona to offer a Doctor of Veterinary Medicine degree and expects 100 students to enroll in the inaugural year. The university cited a shortage of veterinarians in Arizona as the impetus for establishing the veterinary college. The state has one veterinarian for every 4,100 animals, according to Midwestern, trailing the national average of one veterinarian per 3,500 animals. Three Arizona counties, including Greenlee, La Paz and Yuma, have no veterinarians in practice, the university said. “Quality veterinary care is an absolute necessity in our [s]tate – particularly in our farming and agricultural communities where demand is the highest and shortage of care is the most critical,” said Governor Janice Brewer. “The establishment of this [c]ollege will produce good jobs and help ensure that Arizona develops home-grown veterinarians to meet our most pressing animal health care needs.” The university will focus on recruiting throughout the state and region, with particular emphasis on students from rural communities. <HOME>
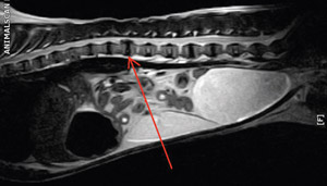
Therapeutic Diets: Improving Pets’ Quality Of LifeMarch 6, 2012 Even before people labeled themselves pet owners, they provided scraps of food for dogs and cats. But it wasn’t until pet food manufacturing for U.S. dogs started in 1890 and for cats in the 1930s that the initiative for improving animal health through nutrition began. Pet food has since evolved in ways that amaze even veterinarians. Therapeutic diets today are created specifically to prevent or delay onset of many medical conditions and help control existing diseases. “Most medical conditions benefit from the right nutritional support,” says Grace Long, director of veterinary technical marketing at Nestle Purina PetCare. “Therapeutic diets complement other therapies, provide excellent nutrition and at the same time address the special nutritional needs of the pet.” Manufacturers of therapeutic lines conduct research on the efficacy of their products, and provide information for veterinary and pet owner education. “Pet food companies devote significant resources researching and developing therapeutic products,” says Kurt Gallagher, director of communications and export development at the Pet Food Institute in Washington, DC. “Given the positive impact that therapeutic products can have on pets, companies engage in significant outreach to the veterinary community so veterinarians are aware of products that …
Connecticut May Relax Pet Import Rules For SheltersMarch 6, 2012 Connecticut may repeal parts of a state law that was enacted last year to address unregulated importation of dogs and cats into the state and related health and public safety concerns, according to the Washington, D.C.-based Pet Industry Joint Advisory Council. Senate Bill 253, which is scheduled to be heard by the Joint Committee on Environment on Wednesday, March 7, 2012, would impact the state law that ensures dogs and cats brought into the state by rescues, humane organizations and other unlicensed entities to be sold or adopted receive a veterinary examination within 48 hours of import, PIJAC said. While SB 253 retains the requirement for dogs and cats to be examined by a veterinarian, it eliminates the 48-hour window, PIJAC said. By state law, commercial kennels, pet shops, grooming facilities and training facilities must be licensed by the agriculture commissioner. Also, licensed entities must have an animal’s health certificate prior to import. Another provision of SB 253 allows the unlicensed organizations to avoid the requirement of a veterinary examination altogether by claiming the animal had already been adopted prior to entering the state, PIJAC said. PIJAC supports the law, which was introduced as …
Veterinary Spending Projected To Slow In 2012March 2, 2012Veterinary Spending Projected to Slow in 2012veterinary, spending, 2012, appa, report, petThe veterinary segment is expected to follow an industry-wide pattern of flatter growth in 2012, according to the American Pet Products Association.The veterinary segment is expected to follow an industry-wide pattern of flatter growth in 2012, according to the American Pet Products Association.NewslineVeterinary Spending Projected to Slow in 2012Posted: March 1, 2012, 4:15 p.m. EST Spending on Veterinary Care The veterinary segment is expected to follow an industry-wide pattern of flatter growth in 2012, according to the American Pet Products Association. Spending in the veterinary care category grew by 2.9 percent from 2010 to 2011, and the APPA anticipates a 1.3 percent rate of growth through 2012. The pet industry as a whole grew by 5.3 percent from 2010 to 2011, surpassing $50 billion in overall spending, and is projected to grow by 3.8 percent through 2012. Spending on pet insurance, included in the veterinary care category, grew by 9.2 percent to $450 million from 2010 to 2011, and is expected to increase to $500 million in 2012. The pet services segment, including grooming, boarding, pet hotels, pet sitting, day care and other services, was …
Brain Benefits Of CAVM For EpilepsyMarch 1, 2012 These are the footnotes for Dr. Robinson's March 2012 column, Brain Benefits of CAVM for Epilepsy. 1. McElroy-Cox C. Alternative approaches to epilepsy treatment. Current Neurology and Neuroscience Reports. 2009;9(4):313-318. 2. Taylor J. Holistic treatments for epilepsy in dogs. The Bark. 2006;Issue 36. Accessed at http://www.thebark.com/print/134?page=show on 01-05-12. 3. McElroy-Cox C. Alternative approaches to epilepsy treatment. Current Neurology and Neuroscience Reports. 2009;9(4):313-318. 4. Weissl J, Hulsmeyer V, Brauer C, et al. Disease progression and treatment response of idiopathic epilepsy in Australian Shepherd dogs. J Vet Intern Med. 2011; Dec 19. doi: 10.1111/j.1939-1676.2011.00853.x. [Epub ahead of print] 5. Ekenstedt KJ, Patterson EE, Minor KM, et al. Candidate genes for idiopathic epilepsy in four dog breeds. BMC Genetics. 2011;12:38. 6. Weissl J, Hulsmeyer V, Brauer C, et al. Disease progression and treatment response of idiopathic epilepsy in Australian Shepherd dogs. J Vet Intern Med. 2011; Dec 19. doi: 10.1111/j.1939-1676.2011.00853.x. [Epub ahead of print] 7. Ekenstedt KJ, Patterson EE, Minor KM, et al. Candidate genes for idiopathic epilepsy in four dog breeds. BMC Genetics. 2011;12:38. 8. McElroy-Cox C. Alternative approaches to epilepsy treatment. Current Neurology …
MWI To Carry Filter-Based Canine Platelet Therapy KitFebruary 29, 2012 Veterinary distributor MWI Veterinary Supply Co. will market the C-PET canine platelet enhancement therapy kit after signing an exclusive distribution agreement with C-PET developer Pall Corp., the companies announced today. The kit, designed to treat dogs suffering from osteoarthritis and tendon and ligament injuries, will be sold under MWI’s Securos brand. The disposable system uses filter-based technology to concentrate platelets and their associated growth factors from a patient’s blood. The portable kit does not require a power supply or use of a centrifuge and allows veterinarians to adjust the volume of blood used in the procedure to the size of the patient they are treating, according to Port Washington, N.Y.-based Pall Corp. The company previously developed an equine platelet therapy kit called E-PET. “Pall’s novel point-of-care cell harvesting and delivery method has been used to successfully treat tendinosis in horses,” said Jeffrey Schaffer, DVM, director of Pall Animal Health. “In adapting this technology for dogs, we worked closely with MWI to identify veterinarians interested in evaluating the product by treating osteoarthritic dogs and using a questionnaire to assess improvement in lameness. “Over 100 dogs were treated and the improvement in lameness was judged to …
Beagles Rise To Third Most Popular Breed In 2011February 28, 2012 The beagle and the golden retriever surpassed the Yorkshire terrier among popular breeds in the United States in 2011 compared with the previous year, but the Labrador retriever remained America’s favorite, the American Kennel Club reported today. The beagle was the third most popular dog breed, according to the AKC's annual registration statistics, followed by the golden retriever. The Yorkshire terrier, previously No. 3, was fifth most popular in 2011. “While the Labrador retriever has proven once again to be a family favorite, this year clearly belongs to the beagle,” AKC spokesperson Lisa Peterson said. “The beagle’s merry personality combined with his love of outdoor activities make him such a wonderful family pet that I wouldn’t be surprised to see this spunky breed sniff his way to the top of the list next year.” The shih tzu dropped out of the top 10, falling to No. 11 in 2011, with the Rottweiler replacing it at No. 10. The Rottweiler’s popularity boost is part of a decade-long trend among large dog owners, according to the AKC. Since 2001, the Bernese mountain dog moved from the 54th most popular breed to No. 34, and other large breeds followed …