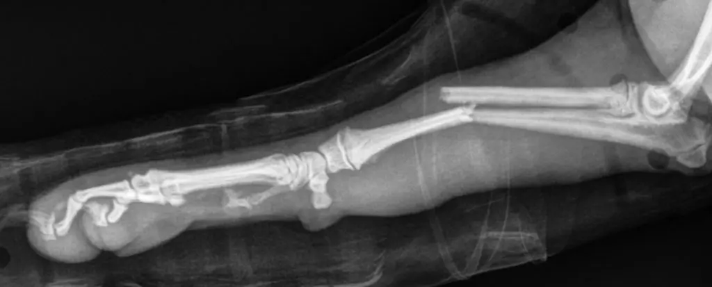
Brain Teaser: Can you solve this puzzle?April 11, 2026Test your veterinary knowledge with our monthly challenge, featuring a six-month-old intact female border collie with left forelimb lameness.
SPONSORED CONTENTNutrition clinically proven to improve mobilityHill's Prescription Diet Metabolic Weight + j/d is clinically shown to improve cats’ mobility in as little as 1 month & stimulate metabolism + Learn More
Brain Teaser: Can you solve this puzzle?March 3, 2026Test your veterinary knowledge with our monthly challenge, featuring a two-year-old Siberian husky presenting for vomiting after an unwitnessed trauma.
Brain Teaser: Can you solve this puzzle?February 17, 2026Test your veterinary knowledge with our monthly challenge, featuring a three-year-old male intact Beauceron presenting for six hours of lethargy, non-productive vomiting, and restlessness.
Brain Teaser: Can you solve this puzzle?January 7, 2026Presentation: A five-month-old intact female Pomeranian with right forelimb lameness after jumping off a step.
Brain Teaser: Can you solve this puzzle?December 8, 2025Presentation: A nine-year-old spayed female Chihuahua presented after being attacked by a coyote.
Brain Teaser: Can you solve this puzzle?November 1, 2025Presentation: A 21-year-old cat presents for respiratory distress. Chylous effusion is removed via thoracocentesis.
Brain Teaser: Can you solve this puzzle?September 30, 2025Presentation: An eight-year-old male intact German Shepherd presents for hematuria.
Brain Teaser: Can you solve this puzzle?September 3, 2025Presentation: A 12-year-old female spayed pitbull with a wound of two months’ duration on the digit.
Brain Teaser: Can you solve this puzzle?July 29, 2025Presentation: An eight-year-old female spayed bulldog presents for a four-month history of intermittent right-sided epistaxis.
Brain Teaser: Can you solve this puzzle?June 25, 2025Presentation: A three-year-old female spayed Doberman Pinscher is presented for chronic left hind limb lameness.